{"_id":"69274e15f2dfcc0037033fa6","slug":"there-was-an-infection-in-the-thigh-bone-relief-was-given-by-special-technique-amethi-news-c-96-1-ame1008-153132-2025-11-27","type":"story","status":"publish","title_hn":"Amethi News: जांघ की हड्डी में था संक्रमण, विशेष तकनीक से दी राहत","category":{"title":"City & states","title_hn":"शहर और राज्य","slug":"city-and-states"}}
Amethi News: जांघ की हड्डी में था संक्रमण, विशेष तकनीक से दी राहत
विज्ञापन
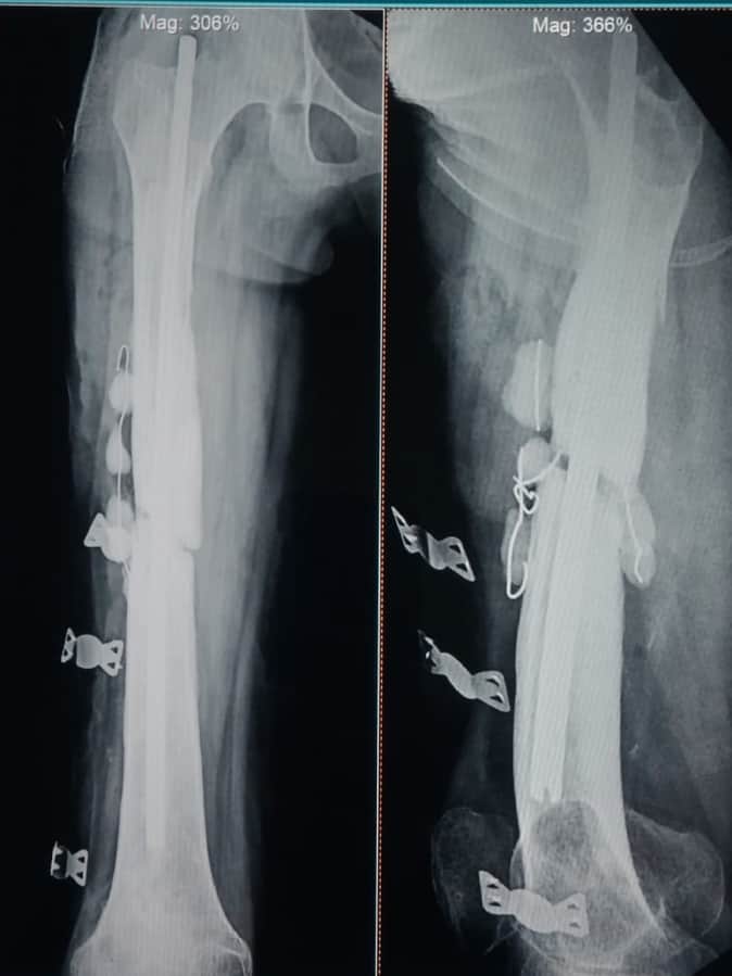
हड्डी में स्थापित एंटीबायोटिक इम्प्रेग्नेंटेड नेलिंग।
- फोटो : हड्डी में स्थापित एंटीबायोटिक इम्प्रेग्नेंटेड नेलिंग।
विज्ञापन
अमेठी सिटी। तिलोई स्थित मेडिकल कॉलेज के अस्थि रोग विभाग के चिकित्सकों की टीम ने मरीज की संक्रमित जांघ की हड्डी की जटिल सर्जरी की है। ऑपरेशन के बाद मरीज के पैर की हड्डी में एंटीबायोटिक इम्प्रेग्नेंटेड नेलिंग (औषधि मिश्रित रॉड) स्थापित की गई है। चिकित्सकों के मुताबिक, मरीज का स्वास्थ्य लगातार सुधर रहा है।
तिलोई में भर्ती मरीज गीता की दो वर्ष पूर्व जांघ की हड्डी टूट गई थी। ऑपरेशन के समय हड्डी जोड़ने के लिए धातु की रॉड लगाई गई थी, लेकिन ऑपरेशन के बाद हड्डी में संक्रमण बढ़ता गया। रॉड हटाने के बाद भी समस्या बनी रही। तिलोई मेडिकल कॉलेज में जब मरीज की जांच हुई तो पता चला कि हड्डी में ज्यादा दिन से संक्रमण होने के कारण सड़न फैल गई थी। विभागाध्यक्ष डॉ. प्रेमी विजय कुमार ने टीम के साथ हाल ही में गीता के पैर का ऑपरेशन किया और संक्रमित हड्डी के खराब हिस्से को हटा दिया।इसके बाद हड्डी में एंटीबायोटिक इम्प्रेग्नेंटेड नेलिंग स्थापित की गई और संक्रमण वाले हिस्से में औषधि कण डाले गए।
विभागाध्यक्ष ने बताया कि यह तकनीक हड्डी के भीतर निरंतर औषधि छोड़ती है, जिससे जीवाणु नष्ट होते रहते हैं और संक्रमण थमता जाता है। सामान्य स्थिति में यह रॉड लगभग छह माह तक रहती है। मवाद बंद होने और हड्डी जुड़ने पर इसे सुरक्षित निकाल दिया जाता है। संक्रमण समाप्त होने पर औषधि कण भी हटा दिए जाते हैं। सर्जरी टीम में विभागाध्यक्ष के साथ सहयोगी चिकित्सक डॉ. बिरेन, डॉ. अरविंद, डॉ. जितेंद्र, ओटी तकनीशियन शिव, आदित्य, शैलेश व नर्स संध्या शामिल रही।
कॉलेज प्राचार्य डॉ. रीना शर्मा ने कहा कि संस्थान में जटिल अस्थि रोगों का सफल उपचार किया जा रहा है। आधुनिक सुविधाओं के कारण गंभीर मामलों में मरीजों को अब बड़े शहरों में इलाज के लिए नहीं भटकना पड़ेगा।
Trending Videos
तिलोई में भर्ती मरीज गीता की दो वर्ष पूर्व जांघ की हड्डी टूट गई थी। ऑपरेशन के समय हड्डी जोड़ने के लिए धातु की रॉड लगाई गई थी, लेकिन ऑपरेशन के बाद हड्डी में संक्रमण बढ़ता गया। रॉड हटाने के बाद भी समस्या बनी रही। तिलोई मेडिकल कॉलेज में जब मरीज की जांच हुई तो पता चला कि हड्डी में ज्यादा दिन से संक्रमण होने के कारण सड़न फैल गई थी। विभागाध्यक्ष डॉ. प्रेमी विजय कुमार ने टीम के साथ हाल ही में गीता के पैर का ऑपरेशन किया और संक्रमित हड्डी के खराब हिस्से को हटा दिया।इसके बाद हड्डी में एंटीबायोटिक इम्प्रेग्नेंटेड नेलिंग स्थापित की गई और संक्रमण वाले हिस्से में औषधि कण डाले गए।
विज्ञापन
विज्ञापन
विभागाध्यक्ष ने बताया कि यह तकनीक हड्डी के भीतर निरंतर औषधि छोड़ती है, जिससे जीवाणु नष्ट होते रहते हैं और संक्रमण थमता जाता है। सामान्य स्थिति में यह रॉड लगभग छह माह तक रहती है। मवाद बंद होने और हड्डी जुड़ने पर इसे सुरक्षित निकाल दिया जाता है। संक्रमण समाप्त होने पर औषधि कण भी हटा दिए जाते हैं। सर्जरी टीम में विभागाध्यक्ष के साथ सहयोगी चिकित्सक डॉ. बिरेन, डॉ. अरविंद, डॉ. जितेंद्र, ओटी तकनीशियन शिव, आदित्य, शैलेश व नर्स संध्या शामिल रही।
कॉलेज प्राचार्य डॉ. रीना शर्मा ने कहा कि संस्थान में जटिल अस्थि रोगों का सफल उपचार किया जा रहा है। आधुनिक सुविधाओं के कारण गंभीर मामलों में मरीजों को अब बड़े शहरों में इलाज के लिए नहीं भटकना पड़ेगा।